山口県宇部市の歯科医院「歯科・沖田オフィス」院長の沖田です。
今回は近くの歯医者さんで根管治療(根っこの治療)をされた後なのに、治りがおかしいので詳しく調べて再根管治療をした例について書いていきます。
目次
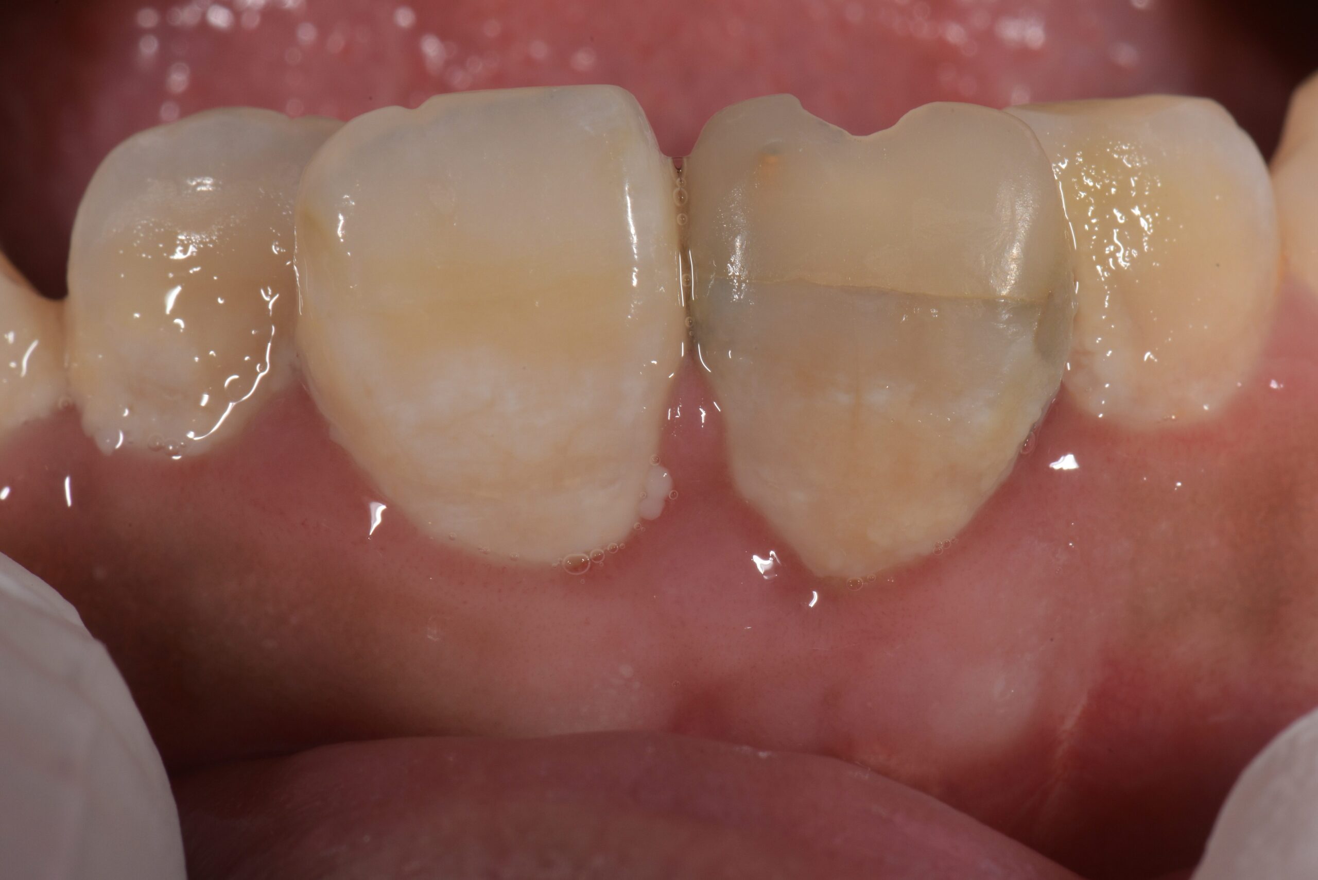
初診時の口の中とレントゲン

虫歯があるので虫歯治療をしたいと言われて当院に来られたのですが
前歯の色が黒く変色しており、前歯の上の方の歯茎が白くなっています💧
聞いてみると、最近まで近くの歯医者さんに通っていて、前歯の根管治療をされたとのことでした。
この前歯の治療後も当院に来られるまでその歯医者さんに通院されていたとのことですが、なぜこのようなおかしなことになっていて、さらにそのままになっているのか??
わからない状態です😵
詳しく調べていくと


レントゲンを確認すると、根の中に詰める材料が根の中ではなく、変な位置に入っているように見えます😰
また、今はあまりしない治療かと思いますが、レジンという白い詰め物をするのに金属のピンを使って補強されているようで、その金属が透けて見えたり、中で溶けて歯が黒く変色していると思われます💦
おかしな位置にある詰め物がどうなっているのかよくわからないので
当院のCTでも確認していきました。
CT画像
CTで見ると全く違う位置というか、歯の外に詰め物がありました。
なんでこんなことに??という感じですが😰
上のCT画像で、根の方向ではない位置に黒く縦長に歯に穴が空いているのが見えます。
その上方に白い棒状の詰め物が歯の外に存在しています。
本当になぜこんなことに❓❓ですが。。。
推測するとしたら、前の歯科医院の先生が根の方向を間違って削るバーの先をくちびるの方向に傾けすぎて歯に穴を開けてしまい、その方向が正しいと勘違いしたまま治療されたのではないかと思われます😵
患者さんと親御さんへの説明
前の歯医者さんに戻って説明や治療方法を考えてもらうか??
前の先生がどのような治療をしてこのような状態になったのか?
どんな材料を使ったのか?
それと、歯に変な方向に穴が開いておりその穴も深い位置でこの歯が残せるかどうか?正直わからない状態だったので
前の歯医者さん(当院から近い歯科医院さんなので通うのには問題ない距離と判断)にまずは相談をしてもらうことをお勧めしました。
仮にもし歯を抜くことになっても、前の歯医者さんがした治療の結果なので何かしらの補償などをしてくれる可能性もあるためです。
(⚠️補償や再治療についての方針は医院ごとに考えが違うので、その歯医者さん次第です⚠️)
当院での治療を希望される場合
もし前の歯医者さんではなく当院での治療を希望される場合は
・当院で治療をしてこのような結果になっているわけではないので、当院では補償などはできないこと。
・通常の保険治療では使用できる材料にも限りがあるので、保険外の材料を使用する必要と判断した場合も当院での治療によるものではなく補償はできないので、その際は自由診療も検討して頂くことがあること。
・保存できない場合や、治療後の経過が悪い場合は抜歯の可能性がること。
それらをよく説明をさせて頂きました。
(他の歯医者さんが診て、この歯を抜歯しかないと判断されても全くおかしくない状態だったので😰)
また、この患者さんは未成年の学生さんなので、親御さんにも来てもらって再度説明をしました。
前の歯医者さんがどんな状態の時にどんな治療をしたかはあくまで当院の推測になるので、今現在のお口の中の状態の事実と今後の治療をどうしていくかの話をメインにさせてもらっています。
(詳しいことは治療をした前の歯医者さんしか分からないのと、その先生が居なくなっていた場合などは記載されているカルテなどで調べるしかなく、当院では分かりようがありませんので😅)
保護者への事実の説明
・歯の内部に穴が開いており、根の中に詰める材料が歯の外に出ていること
・穴の部分と飛び出した材料の周りの骨が吸収して溶けてしまっていること
・上記の事実がどうして起こったかは当院では分からないため、何かあれば前の歯医者さんに聞いて頂いたり、以前の治療内容によっては何かしらの対応や補償をして頂ける可能性がある。
そのことを説明させて頂きました。
当院で治療する場合の治療内容と見通し
仮に当院で治療するのなら
・歯の外の問題なので、外科的に歯茎を切って開いて穴を塞ぐ
・飛び出した材料をきれいに除去して、痛んだ歯肉を除去し、骨が再生できる場所を確保する
・変色した詰め物と金属の溶解があり、根の治療後に土台の治療をして被せ物を被せる
・治癒するかは治療後の経過を見るしかなく、腫れたりするようであれば将来的に抜歯になる可能性もある
ということを説明させて頂きました。
最終的には残せなくても良いから当院で治療をして欲しいとの希望で、以前通院されていた歯医者さんではなく、当院で治療をさせて頂くことになりました。
実際の治療
外科治療(外科的歯内療法)
まずは歯の中ではなく外に出ている詰め物をとる必要があるので、外科的な治療で飛び出した詰め物を取り除くのと前の医院さんで開けられたと思われる穴を塞ぎ、その後に通常の根管治療、被せ物をする流れで治療することをお伝えしました。



根管治療
歯茎を切っているので、治りを待っている間に通常の根っこの治療(根管治療)をしていきます。
穴を塞いだので、消毒の薬剤などが漏れることがなく普通に根管治療を行えるようになっていました。
根の中を触っても痛みもなく治療できているとのことで、途中で何度も塞いだ穴がまた開いて薬がもれたりがないことを確認しながら治療を進めていきます。
根管治療は当院の歯科用顕微鏡(歯科用マイクロスコープ)を用いて行なっています。

水酸化カルシウム製剤で殺菌をしながら、骨のなくなった部分が少しでも回復してくるのを期待しています。

前の歯医者さんで、詰め物をピンで補強をされていましたが
ピンは金属でできており、溶出して歯の変色の原因にもなるので
当院では使用することはなく(そもそも当院には開業時からピンはおいてませんので😅)、根管治療開始後にピンは除去して隔壁(かくへき)を作製し治療をしています。
治療後


宇部市内の未成年の学生さんということもあって、今回はなんとか自由診療は使わずに全て自己負担分のない保険診療内で治療をしております。
被せ物の色と患者さんの歯の色に違いはありますが、これは保険診療に使う被せ物の色は決まったものしかないためです💧
ただ、最初の変色した歯の色に比べたらだいぶ変わって、気にならないと言って頂けました😅
(保険診療では歯の色は決まったものしか使えないので、気になる場合は将来的に自由診療での被せ物をお勧めしています)
被せ物の色が気になれば、将来的にやりかえていけば良いですが
歯が残せなかったらやりかえどころの話ではなく
抜歯後はブリッジで隣の歯を大きく歯を削るか、若いのに取り外しが煩わしい入れ歯か、保険適応がなく費用のかかるインプラントか
その3つの治療方法しか基本的には選択肢がありません。
今回の治療のメインは歯の保存で、自然で審美的な歯にするのが目的ではなかったので
費用を抑えつつ歯を保存できただけでも、今回の治療結果は患者さんも術者側も満足できる結果になりました( ^ω^ )
まとめ
前の歯医者さんを悪く言うつもりは全くありませんので、そこは誤解して欲しくないのですが😅
治療中や治療後におかしいと思ったらこのようなこともあるという1例としてあげさせて頂きました(・_・;
この患者さんに聞くと、根の治療中はすごく痛かったそうです。。。
通常は神経をとった後はそこまで強い痛みが出ることは少ないので
おそらくその時点で違う方向に穴が開いてしまっており、歯の外の骨や歯茎の部分を掃除したり薬を入れたりされていたのではないかと思います。
おかしいと思った時にレントゲンなどで確認をしていればこんなことはなかったかもしれませんし
大人の歯の根管治療をして内部に詰め物をした後は保険上の決まりで必ずレントゲンで確認するはずなので、レントゲンを撮影すれば気付くことができたはずなのになぜそのままになっていたのか
謎なことが多いです❓❓❓🤔
前の歯医者さんについて詳しいことは知りませんが。聞くところによると子供さんの治療や自由診療をメインに説明されている医院さんみたいなので、知識も技術もあるのではないかと思います。
医院さんの規模が大きければ、もしかしたら院長先生ではなく若い代診の先生が治療をされたりしたのかもしれませんが…。
どちらにしろ気付かないところで、患者さんの歯に問題が出てしまったのは事実かと思います。
治療された結果に気付いてなかったのであれば、当院で治療をしたことも全くご存じではないでしょうから
今回の件について治療された先生が振り返って検証したり考えたりすることはないでしょうが
このような治療を見ると、改めて自分も治療をする際は細心の注意と確認をしながら治療をしないといけないなと思いました。
今回は当院で外科的な対応含めて、費用も抑えた保険診療内での治療でなんとか歯を残すことができましたが
他院でされた治療なので、内容によったら戻って頂いて相談してもらうしかないこともありますし。
最初に当院でやった治療でなければ、その後の経過が悪くても当院では責任は負えません😰
治療途中でもおかしいなと思ったら
まずは治療してもらっている歯科医院の先生やスタッフさんに相談してみてください。
そこでどんな状態になっているか説明をして頂けると思いますし。
必要に応じて検査などもして頂き、その先生が対応ができないとなれば何人か歯科医師がいれば院長などの上の立場の方が対応されると思いますし
仮に自院で対応できないとなれば、対応できる他の歯科医院や大学病院などに紹介をして頂けることもあろうかと思います。
どうしてもその歯科医院さんで相談しにくい場合は、セカンドオピニオンなどで他の歯科医院さんに相談もありだと思います(ただし、通っている歯科医院での治療履歴、資料やデータが無ければ、またレントゲンなどの検査も必要ですし、今回のように以前の治療について詳しいことはわからず推測のみで診療になります。また、セカンドオピニオンは保険診療外となることもあるので、事前に相談しようと思っている歯科医院さんに確認をされた方が良いかと思います。)
今回のように気付かずに治療を進めて終わってしまうと、除去する必要が出てしまいその後の治療が大変ですし
大きく削られたりした歯は今の治療では2度と元には戻りません
なので、少しでも早いタイミングで問題に気付いて治療を修正したり、対応策を考えることが大切です。
歯医者さんも神様ではないですし、人の身体は教科書通りにいきません。
歯医者さんもミスはありますし、きちんと治療をしても痛みが取れないこともあります。
(歯に痛みがある場合でも、歯以外の原因で痛みが出る「非歯原性疼痛」もかなり多いと言われています)
何か気になると思われたら早めに相談して歯の状態を確認してもらったり
必要に応じて紹介をしてもらったりしてください!


