山口県宇部市の歯科医院「歯科・沖田オフィス」院長の沖田です🦷✨
以前にも書いたことがありますが
歯がなくなった際に補う方法として、歯科では主に3種類の治療があります。
一番奥の歯で補う必要がない歯や、外や内に押されてしまって補うスペースがない場合は、抜いたままにすることもありますが😅
①ブリッジ
②義歯(入れ歯)
③インプラント
が補う場合の治療になります。
詳しくは以前の投稿などを参照してみてください!
今回はその中の①のブリッジ治療についての詳細と、なるべく歯を多く削らない接着ブリッジについて書いていきます。
ブリッジ治療とは?
歯がなくなった際に、隣の歯を使って補う治療です。
固定性で、歯にしっかりつけてしまうため基本的には取り外さない治療になります🦷
(まれにブリッジを仮止めして、何かあれば外して清掃をするという先生もいますが、仮止めの薬は弱いので。溶けてなくなると虫歯になったり、ブリッジが外れて飲み込むリスクがあります💧)
ブリッジのメリット
固定するため取り外しがない分違和感が少ないです!
また、自分の歯を使うため噛み心地も良いです😀
材料や治療方法によっては見た目もある程度回復させることができるため、従来から良く行われる治療です。
ブリッジのデメリット
主に1本歯がなくなった際、基本的には両隣の歯を一周全て削って3本つないだ被せ物を装着するのですが、歯を削ると言うのはお口の中を考えて噛み合わせを維持するためには必要な治療ですが。
歯にとっては削る行為は正直良くはありません😰
また、繋げて作るためフロスができなくなり、清掃性も劣ってしまいます
元から大きな被せ物が入っていたら、追加で大きく削ることは少ないですが(中が虫歯になっていると話が変わります)
あくまでお口の中の噛み合わせや見た目を優先するために歯を犠牲にするイメージです💦
また、歯がなくなった原因にもよりますが、隣の歯とつなげて補うため、その隣の歯の負担は増します💧
(1人1人がしっかり役割を持って働いていたのが、誰かが辞めてしまいその分の仕事を隣にいる人が負担するようなイメージで。2人で3人分の働きをすることになったり、物凄く大変な仕事をしていた人が辞めて隣のあまり仕事をしなくて良かった人にものすごい負担をかけてしまいます😰)
・負担が増えることによる、歯の破折のリスクや内部のセメントが壊れて虫歯になるリスク
・清掃性が劣ることによる虫歯のリスク、歯周病のリスク
が上がってしまいます。
特にブリッジで注意すること
特に神経の無い歯をブリッジの支えに使う場合は要注意です。
また、その神経がない歯で特に上の奥歯は注意が必要です⚠️
上の歯で2本の歯で3本分のブリッジを作った場合
神経のある歯→20年経過してブリッジが残った率が約70%
神経の無い歯→20年経過してブリッジが残った率が約47%
と元々神経があっても良く無い結果が神経が無いとさらに半分以下になります💧
下の歯で2本の歯で3本分のブリッジを作った場合
神経のある歯→20年経過してブリッジが残った率が約96%
神経の無い歯→20年経過してブリッジが残った率が約69%
下の歯は比較的ブリッジにしても残りやすいですが、やはり神経の無い歯は成功率が落ちてしまいます💧
上の歯で2本の歯で4本分のブリッジを作った場合
神経のある歯→20年経過してブリッジが残った率が約74%
神経の無い歯→20年経過してブリッジが残った率が約25%
下の歯で2本の歯で4本分のブリッジを作った場合
神経のある歯→20年経過してブリッジが残った率が約91%
神経の無い歯→20年経過してブリッジが残った率が約67%
という海外のデータがあります。
このデータ注意点
明かに上の歯で神経が無い歯のブリッジ治療は結果が良くないことがわかります⚠️
ちなみに、これは海外のデータになります。
そのため日本で考えた場合はもっと成功率が落ちる可能性があります💦
日本は保険診療の弊害で、低価格で治療時間が長く取れないことが多いです。
そのため、簡単に神経をとる先生が昔から多いと言われていますし。
時間がかけられない分、大きく歯を削って見やすくして神経を取り除き、そこに金属の大きな土台を入れている方も多かったりします。
そうなると上記のデータに比べてさらに悪い結果になってしまいます。
従来型ブリッジ




従来のブリッジは主に使用されるセメントが歯としっかりくっつくわけではなかったのと
保険診療でも自由診療でも金属を使用するものしかなく、金属と歯をしっかりくっつける方法がなかったため
多く削ってセメントで歯と接する面積を沢山作ったり、外れにくい形にしてブリッジを装着するしかありませんでした💧
セラミック・ジルコニアによるブリッジの登場
セラミックやジルコニアが被せ物の材料に使われるようになって、金属を使わない治療が確立され、メタルフリーでオールセラミックを使うブリッジが登場しました。
強化型セラミックは、メーカーさんの指定で奥歯の大きな歯には使用ができませんが、色が良く綺麗なので前歯や小臼歯と言われる前歯と奥歯の間にある小さめの臼歯に用いることができます。
従来のセメントとは違い、レジンという詰め物のように歯にくっつけて歯と一体化させる方法が確立されてきて適応が広がりました😊
大きな奥歯はどうするのか?という問題には、より強度のあるジルコニアを用いるようになりました。
当初のジルコニアは白くても色が悪く、見た目的に使いにくいためジルコニアだったので、そのジルコニアの上にセラミックを盛る方法をとっていましたが、表面に盛ったセラミックが割れることが多かったです💧
そこから、強度を少し落として透明感を出したジルコニアが出てきて、表面に色を塗って焼くだけでも綺麗な歯を作れるようになったので、セラミックを盛らなくても違和感の少ない被せ物ができるようになってきました🦷✨
接着ブリッジ
接着剤の改良でセラミックだけでなく、金属でもある程度歯とくっつける方法ができたので
ほとんど歯を削らず、見た目を補う接着ブリッジという方法ができました🦷✨
ただ、接着剤のみで歯とくっついているだけなので、強い力がかかると外れてしまうリスクが高く、主に前歯に使用されます。
奥歯に使う場合は条件が厳しく、噛む力があまりかからないか削る量を減らしつつ、やや歯を覆うような形態のブリッジにする方法を取ります。
金属でもある程度歯とくっつける方法ができたので、保険診療でも接着ブリッジはできますが、色が悪いのとやはりセラミックほど歯とくっつかないため外れるリスクもあります。
ただ、金属は壊れにくいメリットがあります。
現在のところは金属の接着ブリッジは保険診療でも可能です。
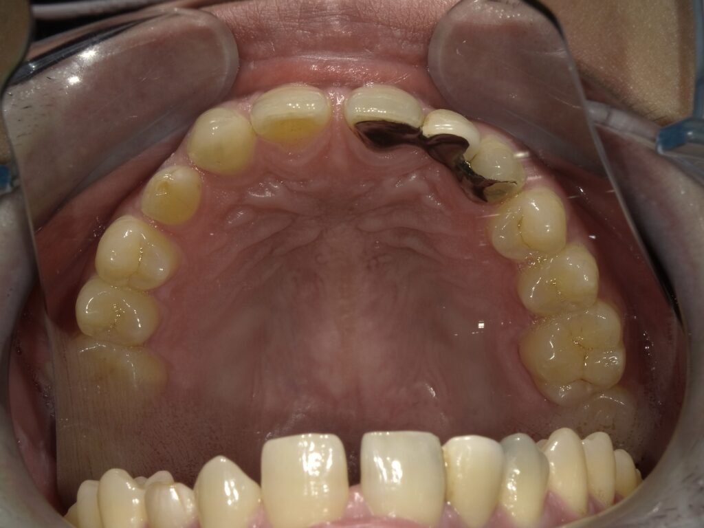
保険診療での接着ブリッジ(当院での自例)
当院で実際に保険診療で治療した方です。
前から2番目の永久歯がなく、乳歯が残っていた方で
それが抜けてしまったので治療を希望されました。
もう10年近く前の治療で、当時の保険診療では両隣の2本の歯を支えにしないと保険適応がありませんでした💦



歯科技工士さんに綺麗に作製してもらいましたが、裏の金属がどうしても透けて見えてしまうので隣の歯がやや黒くなってしまっています(・_・;
また、保険診療では両隣の歯に接着させないといけない時代でしたが、それぞれの歯が別々の動きをするのに裏で貼り付けているだけなので、片方が外れてしまうことが多く。。。
この方も数年して片方の接着剤が剥がれてしまって、1本の歯だけでくっついている状態ですが。
今のところやりかえもなく10年近くお口の中で使って頂いてます😃
自由診療での接着ブリッジ(当院での自例)
保険診療では使える材料が金属のみですが
自由診療(自費診療)はその名前の通りに、制約がなく自由に材料や治療方法を選択できます。
主にセラミックやジルコニアを使った治療が多く
外れる可能性、割れる可能制はありますが、金属を使わないので見た目がきれいになります。
実際の当院での事例ですが


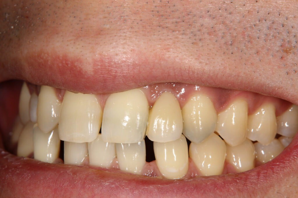
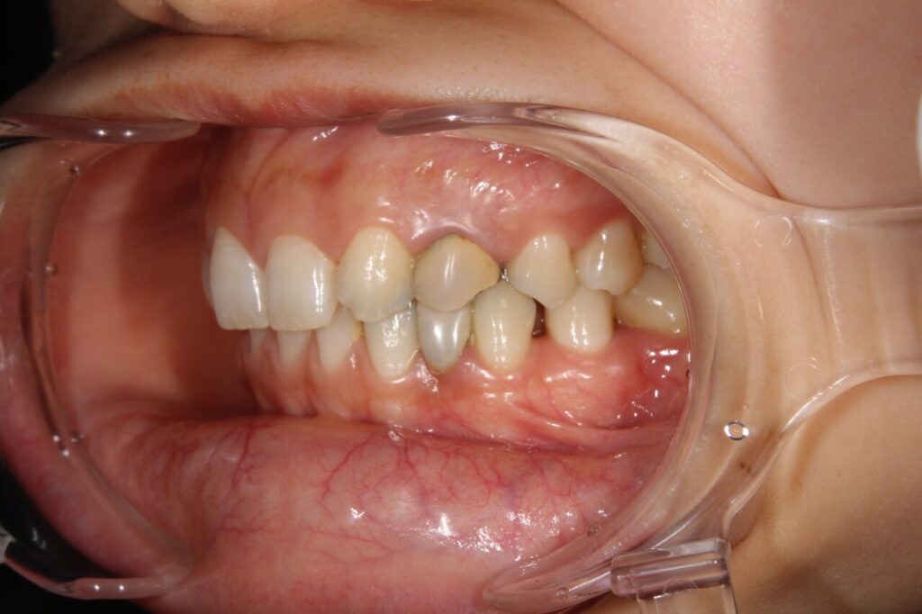
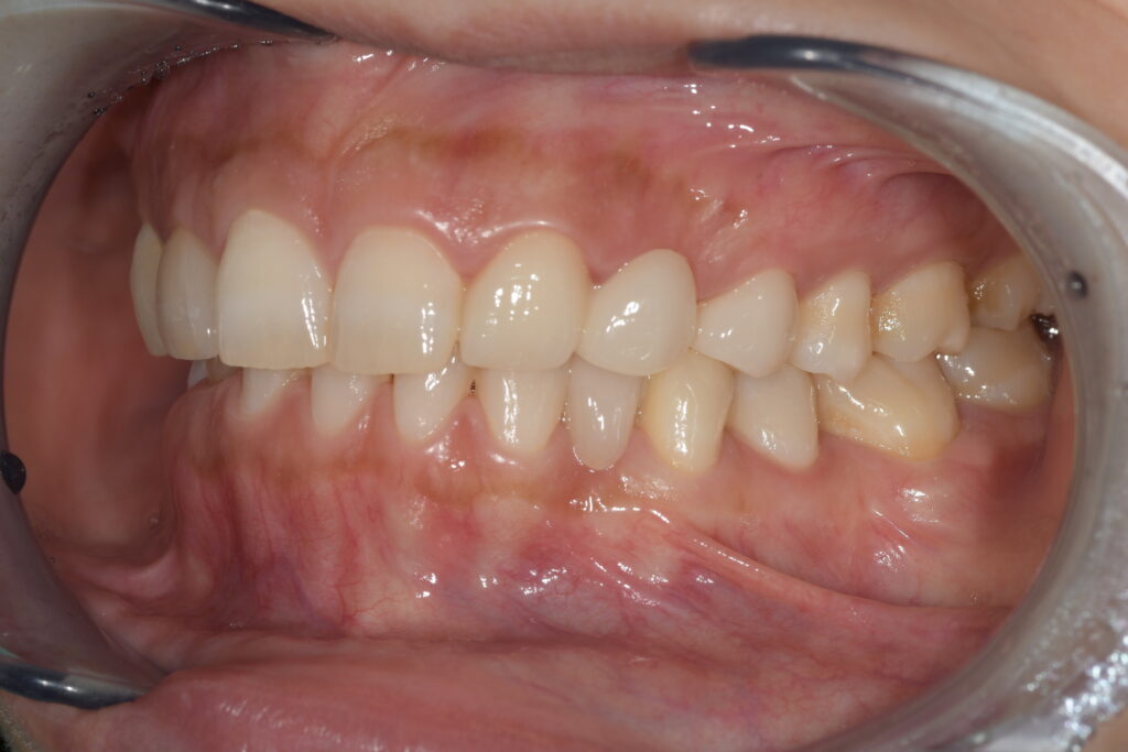
この方も乳歯が残っていたのが抜けてしまい、当時県外で保険診療で接着ブリッジを入れたそうです。
上下の歯をやりかえていきましたが、上の歯は虫歯や奥の削られていた歯の形の問題で通常のブリッジをセラミックで修復、下の歯は接着ブリッジでやりかえました。
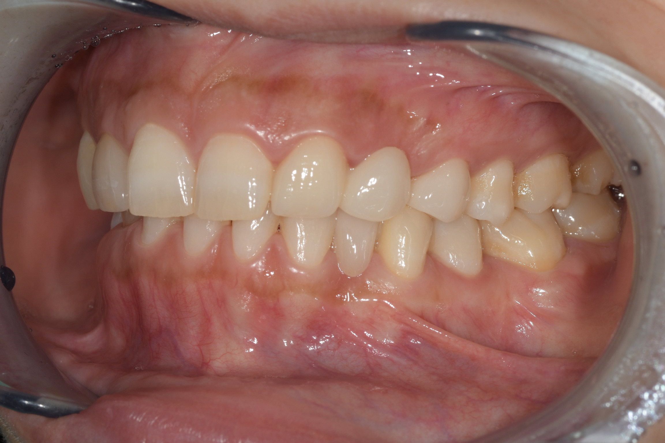
別の例として
同じ患者さんで保険診療の金属接着ブリッジと、自由診療のセラミック接着ブリッジをお口の中に入れて比較した写真ですが


比べてみると保険の金属接着ブリッジは金属が見えたり、透明感のない歯になっています。
セラミック接着ブリッジは金属が見えないのと透明感のある歯になります。
自由診療でのセラミック接着ブリッジのメリット・デメリット
メリット
・見た目が良い:金属を使用しないため黒く透けない
・金属アレルギー予防:金属は腐食や溶け出すため、金属アレルギーを生じるリスクがあります。セラミックの場合は金属アレルギーにはなりません。
・虫歯や歯周病予防:汚れや細菌がつきにくいため虫歯や歯周病のリスクが減ります。
デメリット
・費用がかかる:自由診療のため保険診療に比べて費用がかかる
・破折リスク:セラミックは強い衝撃がかかると割れるリスクがある
・脱離するリスク:接着剤で貼り付けるので、通常のブリッジに比べて外れるリスクがある
まとめ
保険診療、自由診療の接着ブリッジに共通して言えるのは
接着ブリッジは歯を大きく削らずに治療できるメリットがあります!
ただ、できる部位は主に前歯で、噛み合わせが強くない場所に限られます。
また、奥歯がない方や奥歯が入れ歯の方は、咬むための筋肉の力を受け止めること力がなくなって来るので、残っている歯に負担が多いことから接着ブリッジ治療の適応外と判断することもあります。
また、
保険診療では2026年3月現在のところ金属を使うしかなく
隣の歯が薄いと透けて黒く見えて見た目が悪かったり
金属アレルギーのリスクがあります。
自由診療の接着ブリッジは使用する材料が制限がなくなり自由になるため
セラミックやジルコニアなどの金属を使わない治療が可能なため
黒く透けることはなく、金属アレルギーの心配もなくなります。
接着ブリッジをお考えの方は、治療に適したお口の状態かチェックしないと治療可能かはわからないのと
壊れたり外れるリスクがあっても歯を削らない方を優先するのかなど
お口の中の状態や歯の状態を見て、患者さんの希望とリスク等をよく相談させて頂いた後に治療となりますので
接着ブリッジに興味がある方は、まずはご相談ください!!


